Individual Prophy Cycle

The personalized, case-specific
patient profile

Reinvented for greater efficiency
In the past, many of the various well-known treatment concepts have been focused on treating a single oral disease in order to restore or maintain oral health. A paradigm shift is needed away from this one-dimensional approach to oral health, as these concepts have so far failed to recognize that many aspects of general health have a major influence on oral health, and can even cause or exacerbate oral diseases (1).
This is where the personalized, case-specific patient profile comes in. The personalized, case-specific patient profile is centred around close analysis of the patient’s medical history, combined with a precise diagnostic assessment of their general and oral health.

  • Individual Prophy Cycle

    Effect of the patient profile on treatment

    The personalized, case-specific patient profile affects the individual steps taken during the prophylaxis or treatment session (5). As a solutions provider, W&H works closely with dentists and offers a diverse product portfolio to help meet the treatment requirements and recommendations arising from the personalized, case-specific patient profile.

    Advantages of the Individual Prophy Cycle (IPC)

    • Suitable for every dental practice and patient
    • Personalized and patient-oriented
    • Needs-based treatment according to oral health and taking account of the general health factors relevant to dental care
    • No standardized treatments


    The ‘Individual Prophy Cycle’, which W&H developed in collaboration with dentists, provides a personalized treatment recommendation.

    Schmalz and Ziebolz 2019
    ZWR Individualisierte Prävention


    Case-specific patient profile =
    personalized treatment recommendation

    The aim of the patient profile is to produce a personalized treatment recommendation in order to improve the safety of procedures and increase the efficiency of treatment (2). The patient’s medical history and a diagnostic assessment of their oral health, for example with respect to cavities, periodontal health and other aspects, form the basis for oral health treatment and prophylaxis procedures (1, 3). The difference with this approach is that aspects of general health that influence oral health are also taken into account in order to develop a personalized, case-specific patient profile. Each factor is assessed in terms of its degree of influence on oral health (4), which helps to inform the subsequent personalized treatment recommendation. This process is facilitated by a validated medical history form, which has been developed specifically for this purpose.

    The IPC contributes to …

    › stabilization of oral health with treatment that takes into account both general and oral health

    › successful treatments due to transparency for patients

    › indication-specific use of instruments based on an assessment of relevant general and oral health factors



    Proxeo – Prophy for Professionals
    For patient-oriented prophylaxis

    Piezo Scaler

    Piezo Scaler

    The W&H piezo scaler with the W&H tips offers you perfect support in the removal of supragingival calculus, plaque and subgingival concretions.

    Proxeo Ultra
    Piezo Scaler Tips

    Air scaler

    Air scaler

    “A handy and powerful sonic scaler with an extensive range of periodontal applications.” OA Dr Christian Graetz

    Proxeo Sonic
    Air scaler Tips

    Air polishing

    Air polishing

    Air polishing can be highly effective for prophylaxis and periodontal treatments.

    Polishing

    Polishing

    With the Cordless and the LatchShort
    W&H Polishing System sets new standards in the area of rotary polishing.

    Proxeo Twist Cordless

    Proxeo Twist LatchShort
    Prophy cups and brushes

    Patient cases according to IPC

    The following case studies* serve to illustrate the interaction between the need and risk factors defined for the IPC, as well as the effects of individual factors.

    The diabetic patient with good oral health

    A 51-year old diabetic patient presents with good oral health at a prevention session. Her blood sugar levels are stable at HbA1c = 6.2%, and thus her condition is thought to be sufficiently managed with the antidiabetic drug metformin. The patient has no existing restorations or early oral disease. Using the dental results, it is possible to determine gingivitis in spite of an otherwise stable condition. more

    Case presentation: Complex Dental Prosthesis Management

    The direct relationship between intraoral and general health, as well as the bidirectional influence that they may have on one another, is well-known (1,2). It is absolutely essential to consider both factors when planning preventive intraoral measures and treatment in the dental practice. The primary objective is the maintenance of patient health and quality of life from both dental and medical perspectives. more

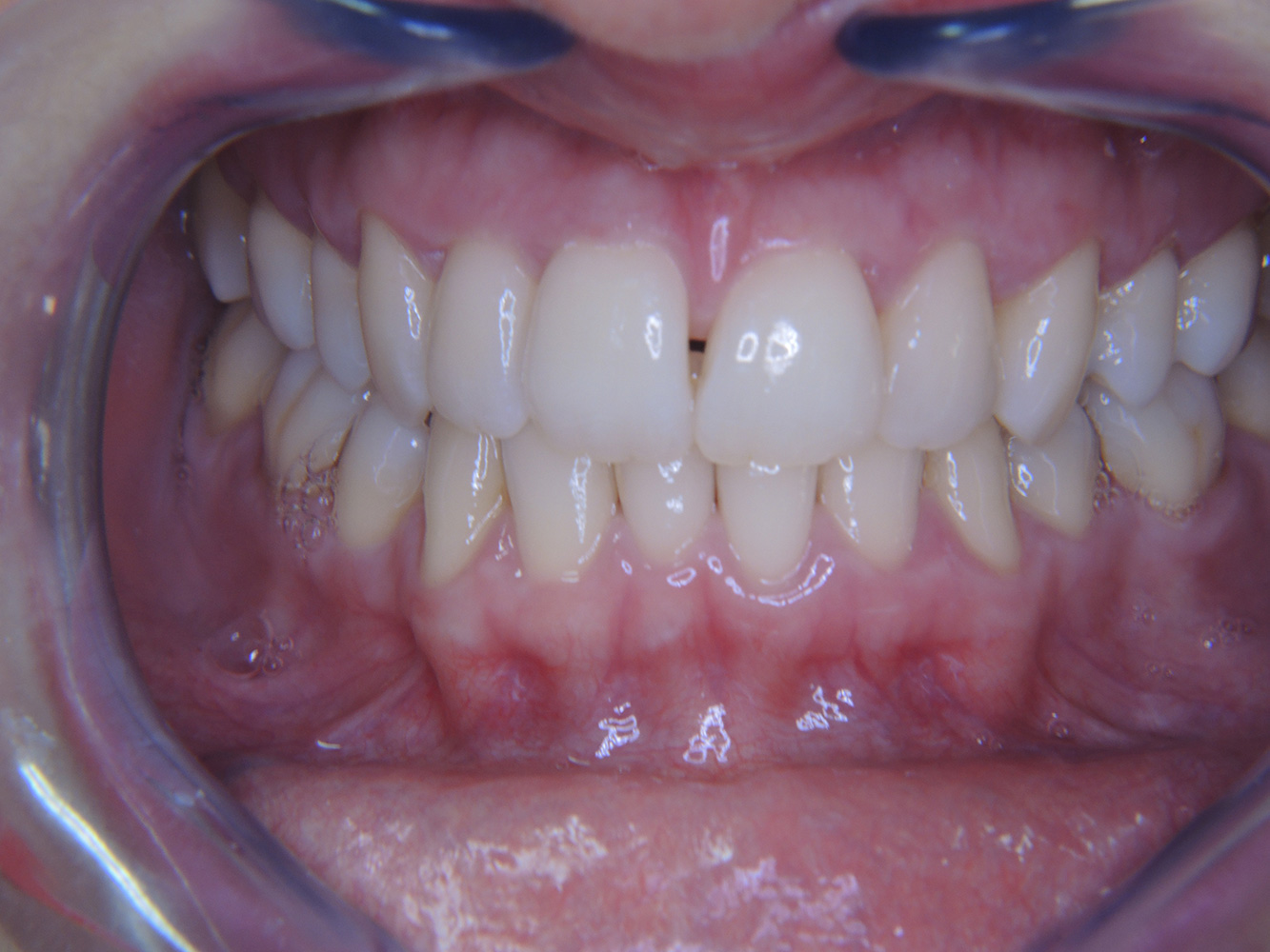
    The (orally) healthy patient with implants

    In the medical history, the 55-year-old patient states that he has no systemic disease and is not taking any medication. The patient’s lifestyle is similarly unremarkable. The patient has a few tooth restorations and two implants (2nd and 4th quadrants). On the basis of current findings, gingivitis is identified in an otherwise stable periodontal condition on the reduced periodontium (stage III, grade A). more

    The healthy patient with pre-existing periodontal disease & peri-implantitis

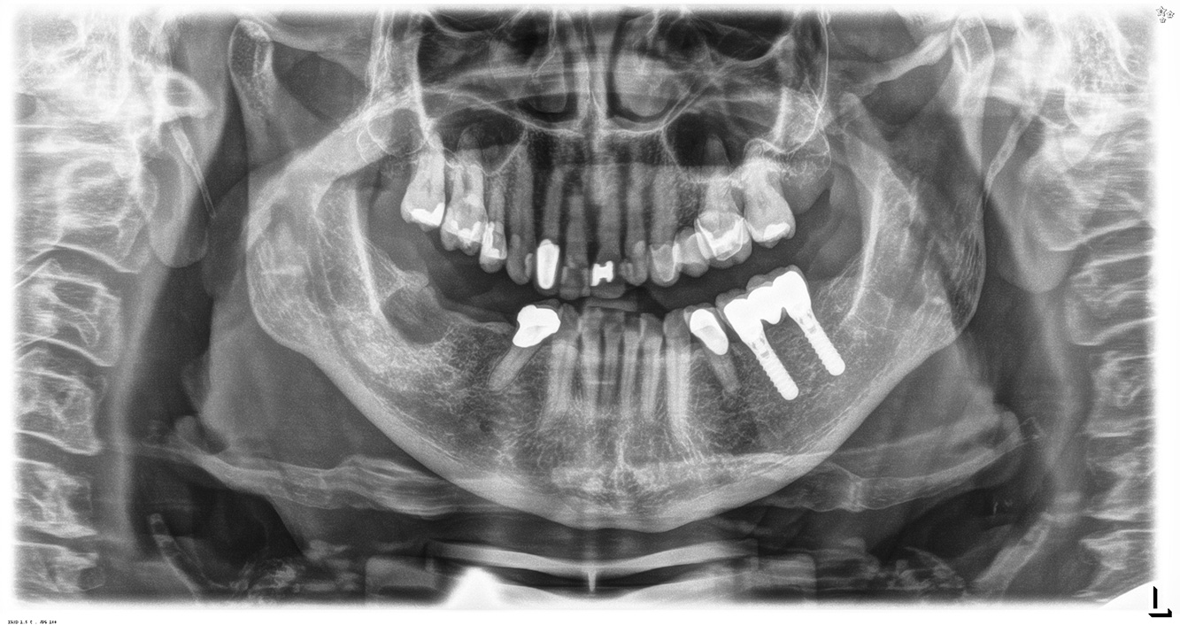
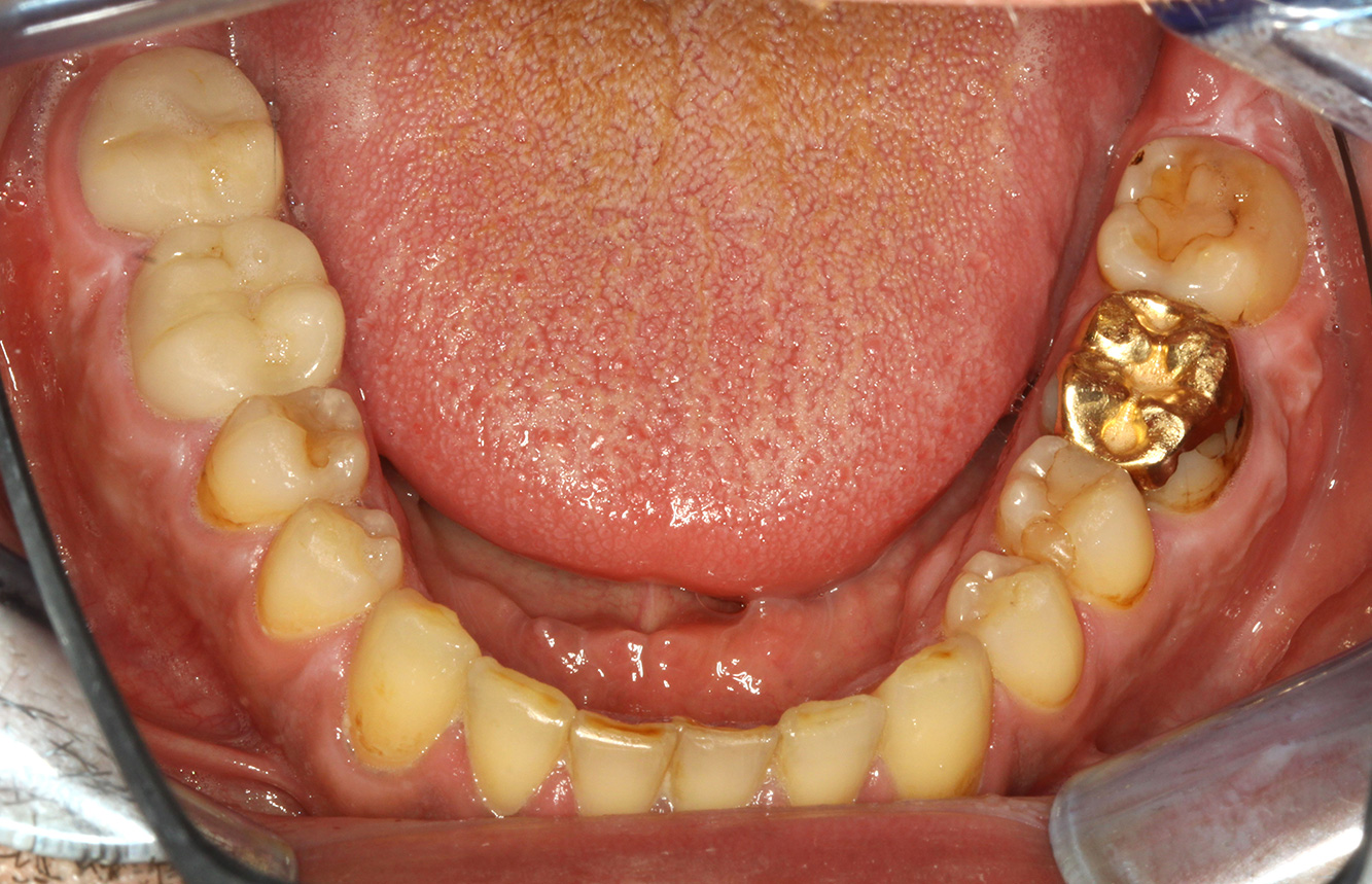
    A 52-year-old patient presents at a preventive care session. The patient has no systemic disease and is not taking any medication. He has had various dental treatments and also has two active carious lesions. In addition, the patient has four implants (2nd, 3rd and 4th quadrants). He is revealed to have early periodontal disease (stage IV, grade B). His periodontal condition is stable; a probing depth of Probing depths (ST) of 5 mm is only evident at the implant in region 36. Gingivitis is also identified. more

    The Diabetic Patient with Pre-Existing Periodontitis

    This case report of a 52-year-old male with type 2 diabetes and periodontitis emphasizes personalized preventive measures and periodontal health maintenance to manage the moderate disease progression risk. more

    The 28-Year-Old Cigarette Smoker with Dental Erosions

    28-year-old patient, smoker, with erosions. The bidirectional relationship between oral and general medical health is very well known. It is no longer sufficient – and arguably even old-fashioned – to consider intraoral conditions in isolation. In order to create a personalized, case-specific preventive and patient profile, it is essential to take a detailed medical history and perform diligent examination of the general medical and intraoral health, as well as considering the two in combination. more

    The endocarditis patient with active caries lesions

    The patient is 39 years old and has previously undergone aortic valve replacement due to valve failure and endocarditis. ASS 100 is taken regularly as an anticoagulant. In terms of lifestyle, the patient’s diet is classified as caries-promoting due to the regular consumption of sugary foods and the fact that six to seven meals are consumed daily. The patient’s oral health indicates a moderate risk of caries, with active lesions. The risk of periodontitis is low, but gingivitis is present. The following recommendations are made for prophylactic treatment. more

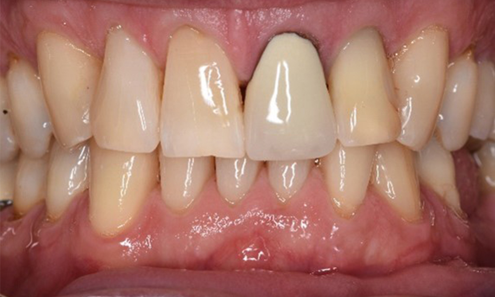
    The transplant patient with gingival overgrowths

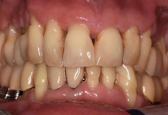
    A 71-year old patient presents with having previously undergone a kidney transplant and with a history of hypertonia (high blood pressure). Due to his medical history, long-term medication with cyclosporine is required to suppress the immune system, as well as amlodipine to lower blood pressure. The patient also reports sensitive and bleeding gums. From an oral health perspective, the patient has undergone dental restoration and has eight missing teeth, pronounced gingival growth, and grade B, stage II periodontitis with active pockets and initial root caries on tooth 22. The caries risk assessment determines a moderate risk of caries (API 60). The following treatment recommendations can be determined for the prophylaxis session. more

    The healthy patient with early periodontal disease

    The 68-year-old patient has no general health conditions and is not taking any medication that may be relevant to her oral health, and her lifestyle does not pose any particular risk. The patient has two dental implants (3rd quadrant, for five years) and a previous case of periodontal disease (stage IV, grade B periodontitis) with tooth loss. Currently the periodontal conditions are stable. However, periodontitis significantly increases the biological complications of implantations and there is a risk of implant loss (21). Four recommendations can be determined for the prophylaxis session. more

    NIWOP – No Implantology without Periodontology

    * with the kind permission of Dr G. Schmalz and Dr D. Ziebolz MSc