Informes & Estudios

Paciente con endocarditis con lesiones de caries activas*

Fotos: © Dr G. Schmalz y Dr D. Ziebolz MSc
Fotos: © Dr G. Schmalz y Dr D. Ziebolz MSc
© Dr G. Schmalz y Dr D. Ziebolz MSc

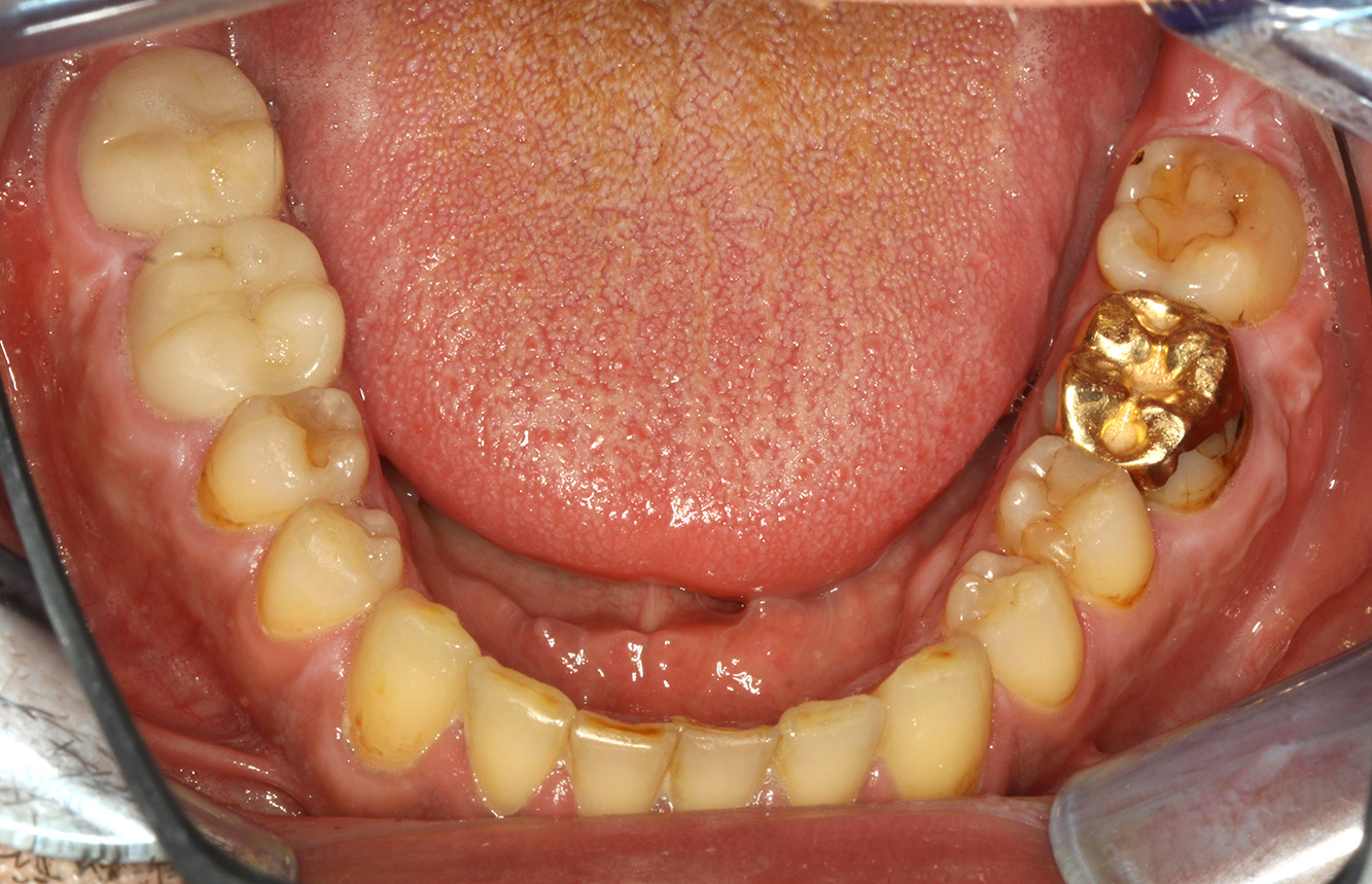
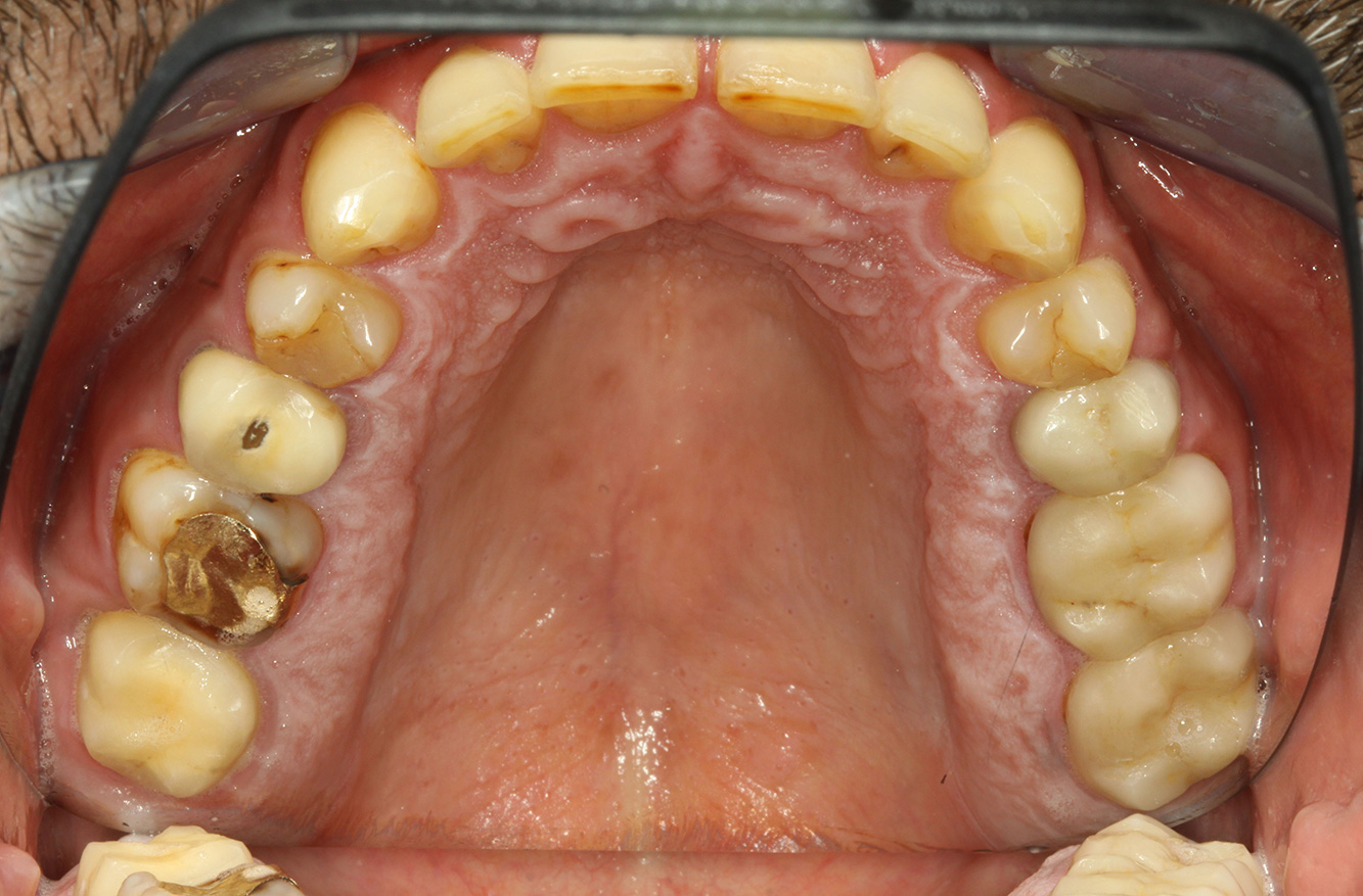
El paciente tiene 39 años con valvuloplastia frente a una insuficiencia valvular y endocarditis. Toma regularmente ASS 100 (ácido acetil salicílico) como anticoagulante. En el ámbito del estilo de vida, la alimentación se identifica como promotora de caries, ya que suele consumir alimentos azucarados y seis o siete comidas al día. La salud oral del paciente muestra un riesgo medio de caries con lesiones activas. El riesgo de periodontitis es bajo, presenta gingivitis. Se hacen las siguientes recomendaciones para el tratamiento profiláctico.

Según Lang y Tonetti
Según Lang y Tonetti
ParoStatus®.de
ParoStatus®.de

Puede deducirse un mayor riesgo de complicaciones por la valvuloplastia y el historial de endocarditis. Para reducir el riesgo de una nueva inflamación, se recomienda profilaxis antibiótica (por ejemplo, 2 g de amoxicilina 1 h antes de la sesión). A pesar del tratamiento continuo existente con un anticoagulante, no se espera un mayor riesgo de hemorragia en la sesión de profilaxis.

Para la entrevista de instrucción y motivación debe planearse suficiente tiempo. La influencia negativa de los hábitos alimenticios en la salud oral (9) debe explicarse claramente al paciente. Con respecto a la endocarditis, también pueden tratarse las relaciones entre las bacterias carcinógenas y las enfermedades cardiovasculares (12), lo que puede reforzar la motivación para hacer un cambio sostenible en la dieta. La conversación debe transmitir al paciente la importancia de una buena higiene oral en casa y motivarle.

Para la sesión de profilaxis no hay recomendaciones específicas de instrumental. Mediante el uso dirigido de un aeropulidor y del pulido rotativo, puede eliminarse suavemente la placa y la decoloración en los bordes de la restauración y reducirse los nichos de recolonización para bacterias carcinógenas (19).

Para prevenir aún más las caries, se recomienda la fluoridación, especialmente para prevenir la nueva formación en el área de los márgenes de restauración y para sellar las superficies radiculares. Ambas medidas pueden reducir la sensibilidad a la temperatura de los dientes.

Debido a las lesiones de caries activas y el riesgo de progresión asociado, hay un intervalo de control posterior más corto, de cuatro meses.



* Publicado por W&H con la autorización del Dr. G. Schmalz y el Prof. Dr. D. Ziebolz MSc.


Individual Prophy Cycle – El concepto de prevención orientado al paciente


Dr. G. Schmalz
Dr. G. Schmalz

Priv-Doz Dr Gerhard Schmalz is a senior physician at the Oral Health Medicine, Polyclinic for Dental Preservation and Periodontology, University Hospital Leipzig, Leipzig (Director: Prof Dr Rainer Haak).

Prof. Dr. D. Ziebolz MSc.
Prof. Dr. D. Ziebolz MSc.

Prof Dr Dirk Ziebolz MSc is a senior physician at the Polyclinic for Dental Preservation and Periodontology, Leipzig University Medical Centre (Director: Prof Dr R. Haak); with focus on interdisciplinary dental preservation and health services research.


Lista de referencias

  1. Chapple IL, Bouchard P, Cagetti MG, Campus G, Carra MC, Cocco F, et al. Interaction of lifestyle, behaviour or systemic diseases with dental caries and periodontal diseases: consensus report of group 2 of the joint EFP/ORCA workshop on the boundaries between caries and periodontal diseases. J Clin Periodontol. 2017;44 Suppl 18:S39-s51
  2. Schmalz G, Ziebolz D, Individualisierte Prävention-ein patientenorientiertes Präventionskonzept für die zahnärztliche Praxis, ZWR- Das deutsche Zahnärzteblatt 2020;129;147-156
  3. Fresmann S., So sieht eine durchdachtes Prophylaxekonzept aus; Dental Magazin: Deutscher Ärzteverlag GmbH; 2015
  4. Schmalz G, Ziebolz D, Individualisierte Prävention-fallorientierte Bedarfsprävention, ZWR- Das deutsche Zahnärzteblatt 2020;129;33-41
  5. Schmalz G, Ziebolz D, Individualisierte Prävention-Implikation allgemeingesundheitlicher Faktoren, ZWR- Das deutsche Zahnärzteblatt 2019;128;295-304
  6. Wang C, Zhao Y, Zheng S, Xue J, Zhou J, Tang Y, et al. Effect of enamel morphology on nanoscale adhesion forces of streptococcal bacteria: An AFM study. Scanning. 2015;37(5):313-21
  7. Pence SD, Chambers DA, van Tets IG, Wolf RC, Pfeiffer DC. Repetitive coronal polishing yields minimal enamel loss. Journal of dental hygiene: JDH. 2011;85(4):348-57.
  8. Kumar PS. From focal sepsis to periodontal medicine: a century of exploring the role of the oral microbiome in systemic disease. The Journal of Physiology. 2017;595(2):465-76
  9. Lalla E, Papapanou PN. Diabetes mellitus and periodontitis: a tale of two common interrelated diseases. Nature Reviews Endocrinology. 2011;7:738
  10. Miller WR, Moyers TB. Eight Stages in Learning Motivational Interviewing. Journal of Teaching in the Addictions. 2006;5(1):3-17
  11. Paradigmenwechsel im Biofilmmanagement [Internet]. Spitta GmbH. 2014. https://www.pnc-aktuell.de/prophylaxe/story/paradigmenwechsel-im-biofilmmanagement__3512.html
  12. Christensen RP, Bangerter VW. Determination of rpm, time, and load used in oral prophylaxis polishing in vivo. J Dent Res. 1984; 63(12):1376-1382
  13. Graumann SJ, Sensat ML, Stoltenberg JL. Air polishing: a review of current literature. Journal of dental hygiene : JDH. 2013;87(4):173-80
  14. Bordoloi P, Ramesh A, Thomas B, Bhandary R. Epidemiological survey of dentinal hypersensitivity after oral prophylaxis. J Cont Med A Dent. 2018;6(1)
  15. James P, Worthington HV, Parnell C, Harding M, Lamont T, Cheung A, et al. Chlorhexidine mouthrinse as an adjunctive treatment for gingival health. The Cochrane database of systematic reviews. 2017;3:Cd008676
  16. Sawai MA, Bhardwaj A, Jafri Z, Sultan N, Daing A. Tooth polishing: The current status. Journal of Indian Society of Periodontology. 2015;19(4):375-80
  17. Slayton RL, Urquhart O, Araujo MWB, Fontana M, Guzman-Armstrong S, Nascimento MM, et al. Evidence-based clinical practice guideline on nonrestorative treatments for carious lesions: A report from the American Dental Association. J Am Dent Assoc. 2018;149(10):837-49 e19
  18. Gleissner E. Erfolgreiche Prävention auch in schwierigen Fällen. Allgemeine Zahnheilkunde: ZMK-aktuell; 2019
  19. Derks J, Schaller D, Hakansson J, Wennstrom JL, Tomasi C, Berglundh T. Effectiveness of Implant Therapy Analyzed in a Swedish Population: Prevalence of Peri-implantitis. Journal of dental research 2016;95:43-49
  20. Newton JT, Asimakopoulou K. Managing oral hygiene as a risk factor for periodontal disease: a systematic review of psychological approaches to behaviour change for improved plaque control in periodontal management. Journal of Clinical Periodontology 2015;42:S36-S46
  21. Veitz-Keenan A, James R, Implant outcomes poorer in patients with history of periodontal disease, Evicénce-Based-Dentistry 18, 5 (2017)

comentarios